Workstation PACS ImagePilot

ImagePilot è il sistema per la gestione dei digitalizzatori Pegasus e Regius ∑. Sviluppato da Konica Minolta, racchiude in un’unica soluzione tutte le funzionalità di una Workstation PACS e di una console di acquisizione. Semplice e intuitivo, ImagePilot è l’unica vera soluzione “all in one” per l’Imaging veterinario.

Descrizione prodotto

Ottimizzazione automatica

Il software ImagPilot ti permette di passare dallo scatto della radiografia alla diagnosi in pochissimi click! Con ImagePilot, non dovrai più selezionare la taglia dell’animale o la parte anatomica prima di far l’esame! L’algoritmo di ottimizzazione automatica riconosce la parte oggetto di esame ed applica automaticamente i filtri necessari per offrirti sempre l’immagine migliore!

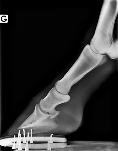
Tool completo analisi immagini

Il sistema ImagePilot include tutti gli strumenti necessari per lo studio diagnostico delle radiografie. I comandi di analisi delle immagini permettono una gestione rapida e flessibile di tutti i parametri di esposizione dell’immagine e ti supportano attivamente nella fase di diagnosi della patologia in esame.

Un vero e proprio PACS!

Radiologia, Ecografia, endoscopia, RMI, CT, foto..e molto altro ancora! Non solo una stazione di acquisizione immagini! Grazie alla sua versatilità, potrai acquisire ed archiviare immagini e filmati provenienti da svariate modalità DICOM e periferiche generiche, quali Ecografi, CT, RMI, Endoscopi e macchine fotografiche.

Licenza multiutente

Vuoi accedere alle funzionalità del tuo sistema radiologico Konica Minolta da qualsiasi PC del tuo ambulatorio? Con ImagePilot puoi collegare fino a 5 computer client aggiuntivi ed utilizzare tutte le funzionalità di gestione delle immagini come se fossi sulla Workstation principale!

Condividi le tue immagini

Condividere immagini con clienti e colleghi non è mai stato così semplice! Con pochi e semplici passaggi, potrai esportare le tue immagini in diversi formati, su CD, DVD o memoria USB. Inoltre, grazie alla licenza di reportistica avanzata, sarai in grado di creare referti personalizzati da consegnare ai tuoi clienti.

Workstation Laptop

Sei sempre in movimento e vuoi che il tuo sistema di Radiologia Digitale segua i tuoi spostamenti? La workstation Laptop ImagePilot è la soluzione adatta a te! Dotata di monitor ad alta risoluzione e prestazioni top di gamma, la Workstation Laptop ImagePilot è stata appositamente studiata per le esigenze della pratica Freelance.

ImagePilot touch

Studiato appositamente per la visualizzazione e la manipolazione di immagini medicali in formato DICOM, ImagePilot touch può essere richiesto con monitor medicale touch da 23”. Grazie alla tecnologia multi-touch, potrai operare sulle tue immagini in maniera ancora più semplice e intuitiva.